🐾 细心体检,意外发现!——塞尔凯克卷毛猫的心包横膈疝修复案例
本站
2025/3/5 4:30:01
📌 基本信息
🔍 诊断与病情分析
本院在为该猫咪进行体检时,发现其胸部X光片显示心脏轮廓异常。进一步进行心脏超声及腹部超声检查后,确诊为心包横膈疝。该病属于较为罕见的先天性畸形,部分病例可能长期无症状,但若腹腔脏器进入心包腔并产生压迫,可能会影响心脏功能,甚至引发严重的呼吸困难。
⚕️ 治疗方案
本院决定对猫咪进行心包横膈疝修复手术,并在手术过程中一并完成绝育。
术中探查发现膈肌存在约2cm的疝孔,肝脏部分组织已通过该孔进入心包腔,并与周围组织形成一定黏连。
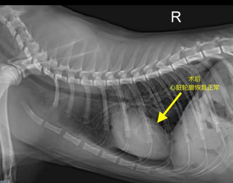
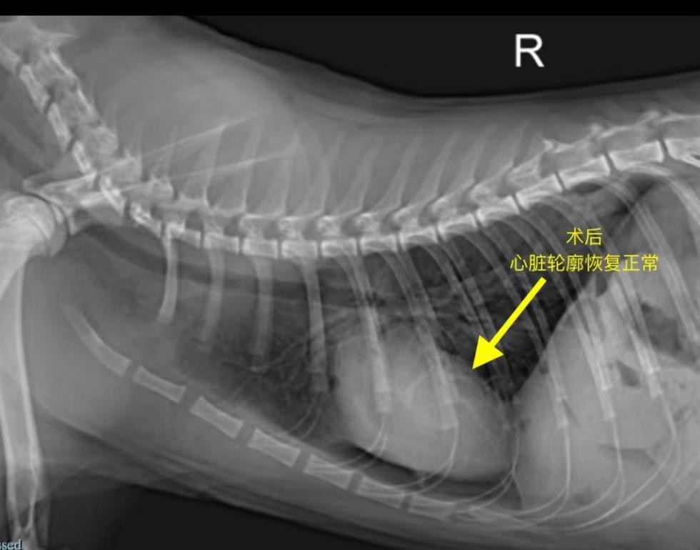
通过分离肝脏组织、修复膈肌缺损,成功恢复正常的胸腹腔解剖结构。
术后第2天:猫咪恢复进食,精神状态良好。
术后1周:日常活动恢复正常,无明显不适表现。
本例为猫心包横膈疝的成功修复案例。该疾病虽属偶发,但在某些情况下可能造成严重后果,因此建议猫咪在绝育前接受完整的健康检查,以便尽早发现潜在问题,避免病情进展带来的风险。本院提醒各位宠主,若发现猫咪有呼吸急促、运动耐受力下降等异常表现,建议尽快就诊,确保宠物健康。
目前,该猫咪已顺利康复,恢复正常生活状态。
🔍 诊断与病情分析
本院在为该猫咪进行体检时,发现其胸部X光片显示心脏轮廓异常。进一步进行心脏超声及腹部超声检查后,确诊为心包横膈疝。该病属于较为罕见的先天性畸形,部分病例可能长期无症状,但若腹腔脏器进入心包腔并产生压迫,可能会影响心脏功能,甚至引发严重的呼吸困难。
⚕️ 治疗方案
本院决定对猫咪进行心包横膈疝修复手术,并在手术过程中一并完成绝育。
术中探查发现膈肌存在约2cm的疝孔,肝脏部分组织已通过该孔进入心包腔,并与周围组织形成一定黏连。
通过分离肝脏组织、修复膈肌缺损,成功恢复正常的胸腹腔解剖结构。
术中同步完成绝育手术,以减少二次麻醉风险,提高整体康复效率。
术后第2天:猫咪恢复进食,精神状态良好。
术后1周:日常活动恢复正常,无明显不适表现。
术后2周:拆线,完全康复。
本例为猫心包横膈疝的成功修复案例。该疾病虽属偶发,但在某些情况下可能造成严重后果,因此建议猫咪在绝育前接受完整的健康检查,以便尽早发现潜在问题,避免病情进展带来的风险。本院提醒各位宠主,若发现猫咪有呼吸急促、运动耐受力下降等异常表现,建议尽快就诊,确保宠物健康。
目前,该猫咪已顺利康复,恢复正常生活状态。




