贵宾犬前十字韧带断裂治疗案例分析
本站
2025/2/11 6:34:07
病例概述
Monkey是一只9岁的贵宾犬(泰迪),其主人一直由孙医生负责其日常健康管理。近期,Monkey突然表现出左后肢无法着地走路,且伴有剧烈疼痛。主人发现其行动明显受限,立即带它来医院就诊。经过初步检查,怀疑为前十字韧带断裂,进一步的检查证实了这一诊断,最终选择了手术治疗。
症状描述:
Monkey是一只可爱的贵宾犬,已经是孙医生的常客。从2个月大的时候开始接种疫苗,孙医生就一直是他的专属医生。最近,主人注意到Monkey的左后腿无法着地走路,并且显得非常痛苦。
初诊:
就诊时,孙医生发现Monkey只能依靠三条腿走路,左后肢完全不能触地。经过细致的骨科检查,孙医生触摸到膝关节时显示有明显的疼痛反应。在进行十字韧带功能检查时,Monkey表现出剧烈的疼痛。
检查确诊:
由于狗狗在清醒状态下无法进一步进行检查,孙医生决定进行镇静麻醉。通过镇静后,详细检查中发现左后肢的抽冠试验呈阳性,明确提示前十字韧带断裂。同时,膝关节的X光检查显示在受力状态下,股骨和胚骨处于半脱位状态。最终确诊为左后肢前十字韧带断裂。
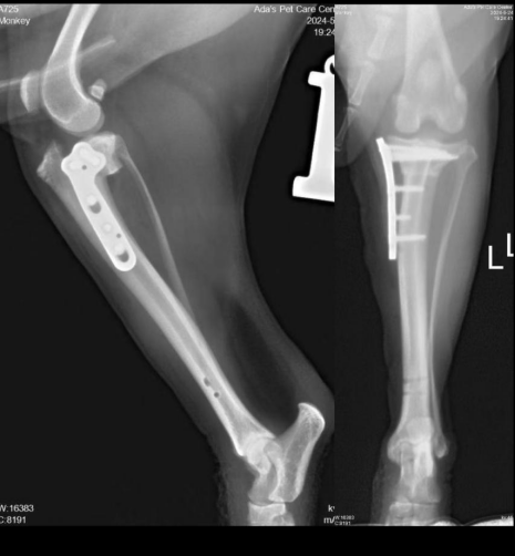
治疗方案:
得知确诊后,家长对病情感到非常心疼。孙医生详细解释了病情及治疗方案,最终,家长在冷静下来后决定进行手术治疗。治疗方案选择了TPLO手术,并安排Monkey住院进行手术治疗。
治疗结果
Monkey是一只9岁的贵宾犬(泰迪),其主人一直由孙医生负责其日常健康管理。近期,Monkey突然表现出左后肢无法着地走路,且伴有剧烈疼痛。主人发现其行动明显受限,立即带它来医院就诊。经过初步检查,怀疑为前十字韧带断裂,进一步的检查证实了这一诊断,最终选择了手术治疗。
症状描述:
Monkey是一只可爱的贵宾犬,已经是孙医生的常客。从2个月大的时候开始接种疫苗,孙医生就一直是他的专属医生。最近,主人注意到Monkey的左后腿无法着地走路,并且显得非常痛苦。
初诊:
就诊时,孙医生发现Monkey只能依靠三条腿走路,左后肢完全不能触地。经过细致的骨科检查,孙医生触摸到膝关节时显示有明显的疼痛反应。在进行十字韧带功能检查时,Monkey表现出剧烈的疼痛。
检查确诊:
由于狗狗在清醒状态下无法进一步进行检查,孙医生决定进行镇静麻醉。通过镇静后,详细检查中发现左后肢的抽冠试验呈阳性,明确提示前十字韧带断裂。同时,膝关节的X光检查显示在受力状态下,股骨和胚骨处于半脱位状态。最终确诊为左后肢前十字韧带断裂。
治疗方案:
得知确诊后,家长对病情感到非常心疼。孙医生详细解释了病情及治疗方案,最终,家长在冷静下来后决定进行手术治疗。治疗方案选择了TPLO手术,并安排Monkey住院进行手术治疗。
治疗结果
手术后,Monkey的麻醉恢复得相当平稳,未出现吼叫、翻滚等疼痛反应。术后约3天,Monkey开始逐渐用左后肢支撑体重,站立时能够稍微承重。术后7天左右,Monkey能够正常四肢慢步行走。经过约10天的住院静养,Monkey成功出院回家继续恢复,目前在家中生龙活虎,恢复得非常好。
