Nana的病例:心脏急症的应急处理
本站
2025/1/14 2:08:23
最近,我们诊所接诊了一只急诊宠物——Nana,它突然出现了呼吸急促、活动耐受性差和精神萎靡等症状。这些表现明显不太像普通的小病,于是我们马上进行了详细的检查。
初步检查和诊断结果
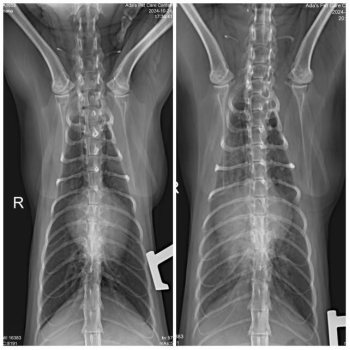
首先,我们进行了胸部X光检查,发现肺部出现弥漫性密度增高的现象,这可能是肺部积水的信号,也提示可能存在心脏问题。此外,X光片还显示了支气管征象,心脏轮廓不清晰,暗示着心脏可能存在增大或其他异常情况。
为了进一步确认诊断,我们进行了心脏超声检查,结果显示左房增大,左室舒张末期的心肌壁增厚。这些表现表明Nana的心脏承受了很大的压力,心脏负荷过重,最终导致了心力衰竭,具体为心源性肺水肿,并伴有肺炎的表现。
诊断与治疗
根据这些检查结果,我们诊断Nana为心源性肺水肿(由肥厚型心肌病引起)和肺炎。这些问题解释了她出现的呼吸困难和整体虚弱的症状。
治疗方面,我们为Nana提供了氧气支持,帮助她缓解呼吸急促的症状,并给予镇痛药物来缓解不适。为了治疗肺炎,我们使用了第一线抗生素,并通过利尿剂减轻肺部积水。同时,我们还给予了心脏营养补充剂,帮助她的心脏在这一关键时刻得到支持。
后续:
初步检查和诊断结果
首先,我们进行了胸部X光检查,发现肺部出现弥漫性密度增高的现象,这可能是肺部积水的信号,也提示可能存在心脏问题。此外,X光片还显示了支气管征象,心脏轮廓不清晰,暗示着心脏可能存在增大或其他异常情况。
为了进一步确认诊断,我们进行了心脏超声检查,结果显示左房增大,左室舒张末期的心肌壁增厚。这些表现表明Nana的心脏承受了很大的压力,心脏负荷过重,最终导致了心力衰竭,具体为心源性肺水肿,并伴有肺炎的表现。
诊断与治疗
根据这些检查结果,我们诊断Nana为心源性肺水肿(由肥厚型心肌病引起)和肺炎。这些问题解释了她出现的呼吸困难和整体虚弱的症状。
治疗方面,我们为Nana提供了氧气支持,帮助她缓解呼吸急促的症状,并给予镇痛药物来缓解不适。为了治疗肺炎,我们使用了第一线抗生素,并通过利尿剂减轻肺部积水。同时,我们还给予了心脏营养补充剂,帮助她的心脏在这一关键时刻得到支持。
后续:
我们将继续密切关注Nana的病情,定期监测她的治疗反应,并进行前后对比的影像学检查,评估她的恢复情况。每当看到我们的毛孩子逐渐恢复健康,内心总是充满了喜悦。我们相信,通过及时的治疗和细心照顾,Nana会很快恢复健康,重新变回那个充满活力的小家伙。


